大腸憩室炎
大腸憩室炎


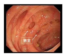
大腸憩室とは、腸管内圧の上昇により粘膜+粘膜筋板のみが腸管壁の抵抗減弱部位より脱出して発生する直径5mm程度のくぼみです(写真)。本邦では3/4が右側結腸に生じます。
大腸内視鏡検査を行うと10%くらいの頻度で見つかる比較的ありふれた病気です。憩室自体はあるだけでは無症状で、特に治療を必要としませんが、便秘などの誘因により炎症を起こしたり、出血を起こすと治療が必要となります。
憩室に炎症が起こり、発熱や腹痛を来す疾患を大腸憩室炎と呼びます。
軽度の腹痛から始まり、炎症が広がるにつれて腹痛の範囲、強さが増していきます。また発熱も来すようになります。適切な治療がなされず、炎症が悪化した場合、穿孔→腹膜炎→敗血症→ショックとなり、死に至ることもあります。また炎症により腸管の内腔が狭窄し、便秘、腸閉塞となることもあります。
症状や腹部診察にてある程度の診断が可能ですが、確定診断には腹部CT検査が必要です。当院では、まず検温、バイタルサインの確認、腹部診察にて、部位や重症度を確認します。また採血検査にて炎症所見の程度を迅速に確認します。高熱、高度の炎症所見、腹膜刺激症状などを認める場合は、入院による治療が必要なため、提携医療機関へ紹介させていただきますが、軽症で診断が不明確な場合は、外来にて腹部CT検査等を進めていきます。虚血性腸炎、虫垂炎、大腸がんなどの疾患の除外診断も必要です。急性期には内視鏡検査は行いませんが、憩室炎とは断定できない場合、上記疾患の除外目的に行う場合もあります。
高熱、高度の炎症所見、腹膜刺激症状などを認める場合は、入院による治療が必要なため、提携医療機関へ速やかに紹介させていただきます。入院にて絶食、十分な輸液、抗菌薬の投与を行います。膿瘍形成や穿孔を来した場合は、手術となることから、外科医との連携が重要です。軽症の場合は外来にて抗菌薬の投与、食事制限を行い、慎重な経過観察とさせていただきます。大腸憩室炎は同一部位で繰り返すこともあり、その場合外科的切除を行うこともあります。
TOP